大腿骨折在临床上称为股骨骨折,主要表现为骨折部位局限性疼痛,患者站立、行走出现困难。
股骨坚硬,骨折通常发生于骨质疏松的老年人,跌倒、撞击都可以引起骨折。除此以外,一般是高暴力如车祸、高处跌落等才会引起大腿骨折。
大腿骨折包含了多种类型的骨折,如股骨颈骨折、股骨转子间骨折、股骨干骨折等,下面列举几个常见的大腿部位骨折:
股骨颈骨折:
股骨颈骨折后会出现髋部疼痛,患肢活动受限。患肢与对侧肢体相比出现短缩,以及外展、外旋畸形,外旋角度在45°~60度之间。X光片下可以看见股骨颈部位出现骨折线。

股骨转子间骨折:
转子间骨折的临床表现与股骨颈骨折相似,主要的鉴别的在于,转子间骨折的外旋畸形可以达到90°。同时可在CT或是X光片下观察到转子间的骨折线。

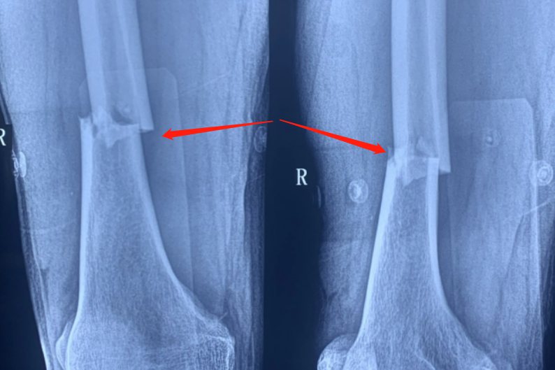
股骨干骨折:
股骨干骨折由于肌肉的牵拉作用骨折断端移位、成角明显,患肢出现短缩伴有明显的肿胀疼以及疼痛感觉。股骨干骨折出血量较大,患者容易出现头晕、面色苍白等休克表现。

大腿骨折患者行动困难,对患者的学习、工作和生活都产生较大影响,而且病情较急,应该及时就医进行复位固定治疗,避免出现并发症以及后遗症。
上一篇:日常做得好,痘痘远离早!