背部常见皮肤病包括汗斑、马拉色菌毛囊炎、痤疮、红色粟粒疹以及带状疱疹。汗斑以毛孔为中心的点状或者融合成片状色素沉着斑为主要特点;马拉色菌毛囊炎主要为密集或散在的半球形毛囊性丘疹;痤疮主要为大小不等的红色丘疹;红色粟粒疹主要为米粒到绿豆大小的红色非毛囊性丘疹;带状疱疹特点为出现带状排列的水疱。
汗斑和马拉色菌毛囊炎可使用抗真菌药物进行治疗;背部痤疮常外用维 A 酸类药物治疗;带状疱疹常需使用抗病毒药物;色粟粒疹在皮肤降温、干燥处理后可自行消退。
1、汗斑
汗斑主要出现在人体皮脂腺、汗腺发达的部位,如面部、胸背部、腋窝等。早期主要表现为边界清楚的点状斑疹,后逐渐变大融合成边界不清楚、不规则的片状斑疹。颜色可以是褐色、淡褐色、淡红色、白色等。一般无不适,偶有轻微痒感。

2、马拉色菌毛囊炎
马拉色菌毛囊炎主要表现为背部出现皮损,初期为红色囊性丘疹,数日后中央出现脓疱,周围有红晕,脓疱干涸或破溃后形成黄痂,痂脱落后一般不留瘢痕。

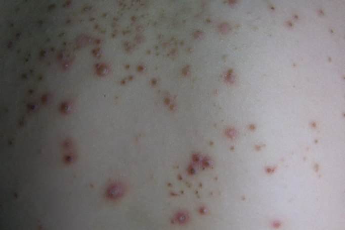
3、痤疮
背部痤疮可以是米粒大小、也可以是黄豆大小的高于皮肤表面的红色丘疹。通常没有不适感觉。但痤疮出现明显炎症时会出现压痛。此外,丘疹内部还会有淡黄色、或者黄白色的脂肪栓。背部痤疮通常会布满整个背部,数目较多。

4、红色粟粒疹
红色粟粒疹主要表现为米粒到绿豆大小的红色非毛囊性丘疹,也可伴有丘疱疹或脓疱,皮损底部皮肤潮红,局部常有灼热、瘙痒。

5、带状疱疹
带状疱疹发疹前常有发热、乏力等,同时胸背部或腰背部处灼热感、疼痛。后该处出现红斑,很快进展为丘疹、水疱,呈簇状分布,整体为带状排列。水疱的疱液澄清、疱壁紧张,外周有红晕但各簇水疱群间的皮肤正常。

汗斑和马拉色菌毛囊炎治疗以遵医嘱使用抗真菌药物为主,背部痤疮则常外用维 A 酸类药物,带状疱疹则常需使用抗病毒药物,而红色粟粒疹通常给皮肤降温、干燥处理后可以自行消退。
上一篇:腋下汗斑图片 腋下汗斑图片和症状
下一篇:点完痣一个月色素沉着图片