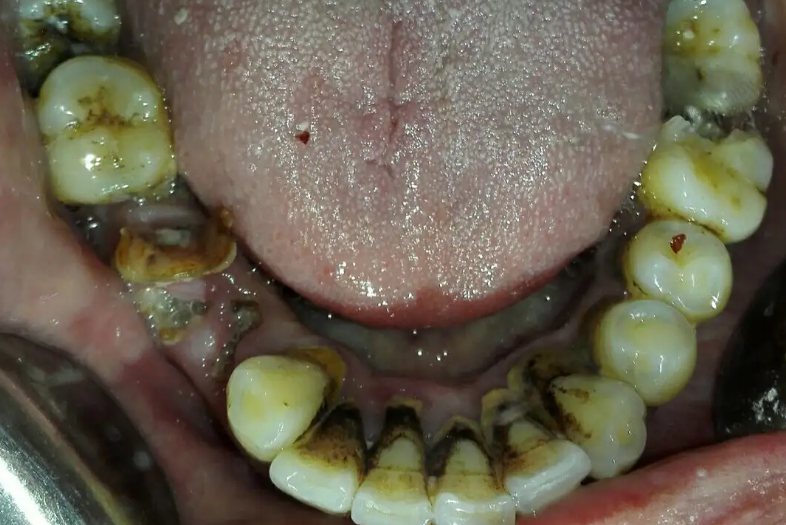
牙被虫吃了一半指的是龋齿破坏牙齿产生的病变已经到达牙本质浅层,出现牙齿颜色、形态等的改变,以及表现有对酸甜等刺激较敏感症状。
龋齿的发病离不开细菌、饮食、宿主以及时间四方面的因素,其中细菌为主要因素,因变异链球菌、乳酸杆菌等黏附于牙菌斑处,产酸造成牙质的局部脱矿、加速龋齿的发展;其他如饮食常与进食较多含蔗糖的食物等有关。
牙被虫吃了一半,多表现有牙齿咬合面呈黄褐色或深褐色、牙体缺损明显有深褐色的洞形成、牙齿的质地变软,同时伴有对酸甜类或过冷过热食物的刺激敏感、出现局部的酸痛感。

龋齿破坏牙齿不会自行修复,需及时治疗避免牙齿的进一步损害甚至是出现牙髓炎、根尖周炎等。预防龋齿的发生首先要从保持口腔清洁做起,掌握正确的刷牙方式,定期行洁牙及口腔检查,适当使用含氟漱口水、牙膏等。