扩弓器是让牙弓扩大的一个辅助工具,一般常见于螺旋扩弓器、四眼簧扩弓器。
口腔扩弓器的主要作用为调节牙弓的大小,让牙齿在合适的位置上生长,促进其慢慢排齐,从而避免出现拔牙的情况。
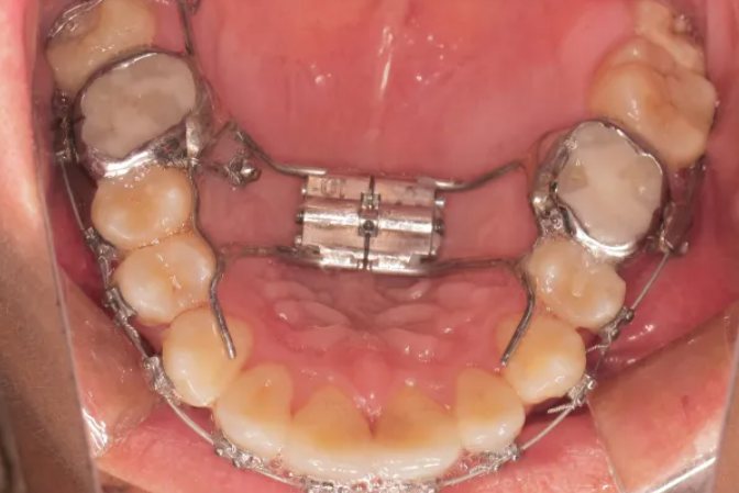
1、螺旋扩弓器
螺旋扩弓器有良好的固定装置,常选用带环或整个上颌后牙平面式颌垫夹板,并采用粘接方法,将矫治器固定于上牙弓上。

2、四眼簧扩弓器
四眼簧扩弓器其结构由加力部分和固位部分组成,加力部分主要是四环圈扩弓簧,固位部分一般由上颌第一磨牙上带环提供。

患者在日常生活中应掌握正确的刷牙方法,并养成进食后漱口的好习惯,及时清理扩弓器上及其与牙龈之间的食物残渣,以保持口腔清洁。