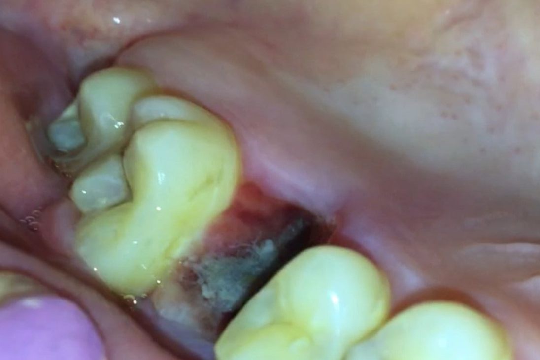
拔牙4天后出现血凝块掉落是一种正常的现象,多数情况下不会出现局部感染的现象。
拔牙4天后出现血凝块掉落,若同时伴随有明显出血等现象,则建议及时到医院就诊,看是否需要继续咬合医用无菌棉球止血,或观察是否出现感染等情况。
拔牙四天后一般会出现凝血块掉落,一般是不要紧的,绝大多数患者不会再次出现创面出血的现象,但极少数患者可能在进食后可能会出现局部疼痛、肿胀感,这可能是食物嵌塞引起,一般漱口或刷牙后就可缓解。

1、 拔牙术后需咬合医用无菌棉球半个小时左右,以便压迫止血;
2、 拔牙术后当天不可刷牙,也不可用力漱口,或舔舐伤口;
3、 拔牙术后不可进食辛辣刺激性或过烫、过热的食物,减少对创口的刺激;
4、 拔牙术后可适当进食清凉、寒冷的食物,可起到止血的效果;
5、 拔牙术后要注意口腔卫生,一般在手术24小时后,就可刷牙漱口,有利于减少细菌感染;
6、 拔牙术后,多数需要局部冷敷半小时左右,可减少牙龈水肿;
7、 拔牙术后,多需要服用布洛芬或甲硝唑等药物,减少细菌感染的可能性。
上一篇:嘴唇改薄手术后一个月的图片
下一篇:线性红斑图片 线性红外光束烟感