唇系带过低多是因遗传因素或先天发育异常引起,其会导致两个门牙间隙过大,影响牙齿美观。
唇系带过低较为轻微的患者,可能对日常生活不会造成明显影响,但病情严重的患者,就可能会导致上唇活动受限、难以闭合完全,甚至可能会对发音、咀嚼造成不利影响。
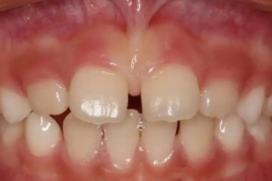
唇系带过低门牙缝隙大主要表现为上唇系带向下延伸至门牙间隙之中,两颗中切牙即门牙中间的间隙过大,贴合不紧密,患者在提拉上唇时有明显的阻力感。

1、如果孩子年龄在6岁以下,唇系带过低可暂时观察,如果未对口腔功能造成影响,一般可不进行治疗。
2、如果孩子年龄在6岁以上,唇系带依旧过低,甚至影响新萌出的两颗中切牙,即门牙中间间隙的关闭,则建议进行唇系带修整手术。
3、如果唇系带过低,已经造成门牙缝隙较大,必要时还需采取针对性的牙齿矫正措施。
上一篇:眼白上有脓包发炎图片