牙齿下面的肉肿了怎么办没有蛀牙 牙齿下面的肉肿了个包会自己消吗
创始人
2024-04-06 00:01:07
0

概述

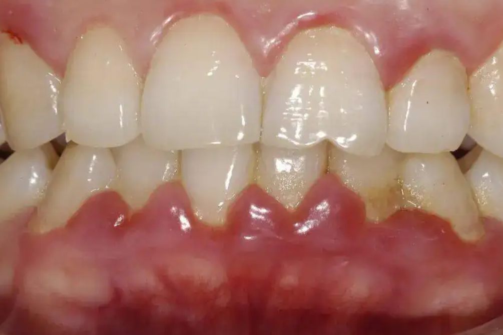
牙齿下面的肉一般指牙龈,肿了可能是牙周炎引起的。

牙周炎是因牙菌斑里的细菌侵犯牙周组织引起的慢性炎症,好发于35岁以上人群。

症状

牙周炎早期常出现牙龈的红肿,若未得到及时处理,继续发展可出现牙齿松动、牙缝变大或是牙龈退缩等。

牙周炎

牙周炎的预防主要是需注意口腔卫生管理,包括正确的刷牙、饭后漱口,用牙线等清理牙缝处难以去掉的菌斑,以及定期的口腔检查、洗牙等。

相关内容

热门资讯

鼻毛为什么会变白 鼻毛为什么会... 鼻毛变白的原因可有多种,可能是衰老所致,也可能是疾病所致。鼻毛与眉毛、头发一样,颜色主要是由鼻部毛囊...
甘草泡地龙的功效与作用用量 甘... 甘草泡地龙的功效与作用包括清热解毒、祛痰止咳、调和气血,详情如下:1.清热解毒甘草和地龙都有清热解毒...
维a酸乳膏一个月效果图男士 维... 概述维A酸乳膏是一种能影响骨的生长和上皮代谢的外用药,常用于辅助治疗寻常痤疮、皮肤角化症等疾病。寻常...
腰椎打了4个钢钉多久能工作 腰... 腰椎打了4个钢钉多久能工作受到恢复情况以及腰椎受损严重程度的影响,一般在2-3个月后就能工作。腰椎打...
女人吃桂附地黄丸吃多久一疗程 ... 桂附地黄丸女人吃了可以达到温补肾阳的功效,能够改善肾阳不足所引起的临床症状。女性在出现肾阳不足之后就...
后脑勺有横着的肉杠是脑梗纹吗 ... 概述后脑勺有横着的肉杠可能是因过度肥胖病或脂肪瘤等因素引起。为预防后脑勺出现横着的肉杠,要适度减肥、...
槲皮素和铁皮石斛是一样的功效吗 槲皮素和铁皮石斛的功效不同,但它们有一些相似之处。槲皮素和铁皮石斛对人体的功效是不同的。槲皮素是一种...
丹参滴丸和麝香保心丸同吃行吗 ... 丹参滴丸即复方丹参滴丸,与麝香保心丸二者虽然都常用于冠状动脉粥样硬化性心脏病的预防、治疗和急救,但在...
身上红色的小血点像痣倪海厦 身... 这类红色小血点,应该视情况而定。若是刚出生的小婴儿,则可能是毛细血管痣,也即是人们口中常常提到的“胎...
舌根滤泡增生图片 舌根滤泡增生... 概述舌根滤泡增生多是指舌根部淋巴滤泡增生,是咽黏膜的慢性炎症,为呼吸道慢性炎症的一种类型。舌根部淋巴...