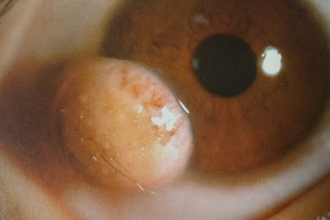
角膜皮样瘤是一种类似肿瘤的先天性异常,严格来说并不属于真正的肿瘤,属典型的迷芽瘤,主要表现为出生时即可在角膜缘见到的小山丘状的肿物。
角膜皮样瘤一般不会发生恶变,早期手术切除预后良好,不易复发。
角膜皮样瘤患者眼球表面出生即有肿物,主要表现为颞下方角巩膜表面见一圆形、扁平、黄色或粉红色、似小山丘状的肿瘤,边界清楚,外表似皮肤,可有纤细的毛发存在,随年龄增长可侵犯瞳孔区影响视力。

角膜皮样瘤为良性,一般不会发生恶变,但应尽早行手术切除。一般手术效果好,切除后不易复发,角膜可留有轻度的瘢痕;如果皮样瘤侵犯较深,则应同时行部分的板层角膜移植术。