皮脂腺囊肿是皮脂逐渐淤积形成潴留性囊肿的良性皮肤病变,主要表现为单发、突出于皮肤表面的包块,不易推动。彩超主要表现为密集细小的光点回声,呈粗颗粒状。
皮脂腺囊肿是因毛囊、汗腺因污垢堆积或损伤后狭窄,进而堵塞相连或临近的皮脂腺导管,脂质排泄受阻而腺泡继续分泌,分泌物不断积聚,腺体膨胀形成囊肿并可不断增大。

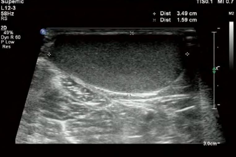
皮脂腺囊肿常好发于头面、背臀等处,多为单发。囊肿呈球形,大小不等,可能压迫周围组织引起不适。表面光滑边界清晰,硬度中等或有弹性、无波动感,常与皮肤有粘连不易推动,但基底可移动。彩超检查可见皮下组织内肿物呈椭圆形或圆形,囊内容物呈密集细小的光点回声,呈粗颗粒状,大部分回声不均匀,囊壁较厚,与周边皮肤界限比较清晰,进行探头加压时会发现囊内有变形现象,部分肿物有抖动、缓慢流动,一般无明显血流征象。
皮脂腺囊肿较小时经小切口直接切除,体积较大且生长迅速应及时外科手术切除,在感染期的囊肿应控制炎症,待消除后再行手术,如已发生过感染、与周围组织有粘连时,应彻底完整摘除,否则残留囊壁组织,易使囊肿复发。
上一篇:线性皮炎图片 线性皮疹严重吗
下一篇:关节型牛皮肤癣的症状图片