激素脸又被称为面部激素依赖性皮炎,主要表现为面部反复的出现泛红、丘疹、痤疮等皮损表现。
引起激素脸的主要原因是长期使用含有激素的面部外用产品,产生了激素依赖,当停用激素类产品时会出现面部皮肤症状。
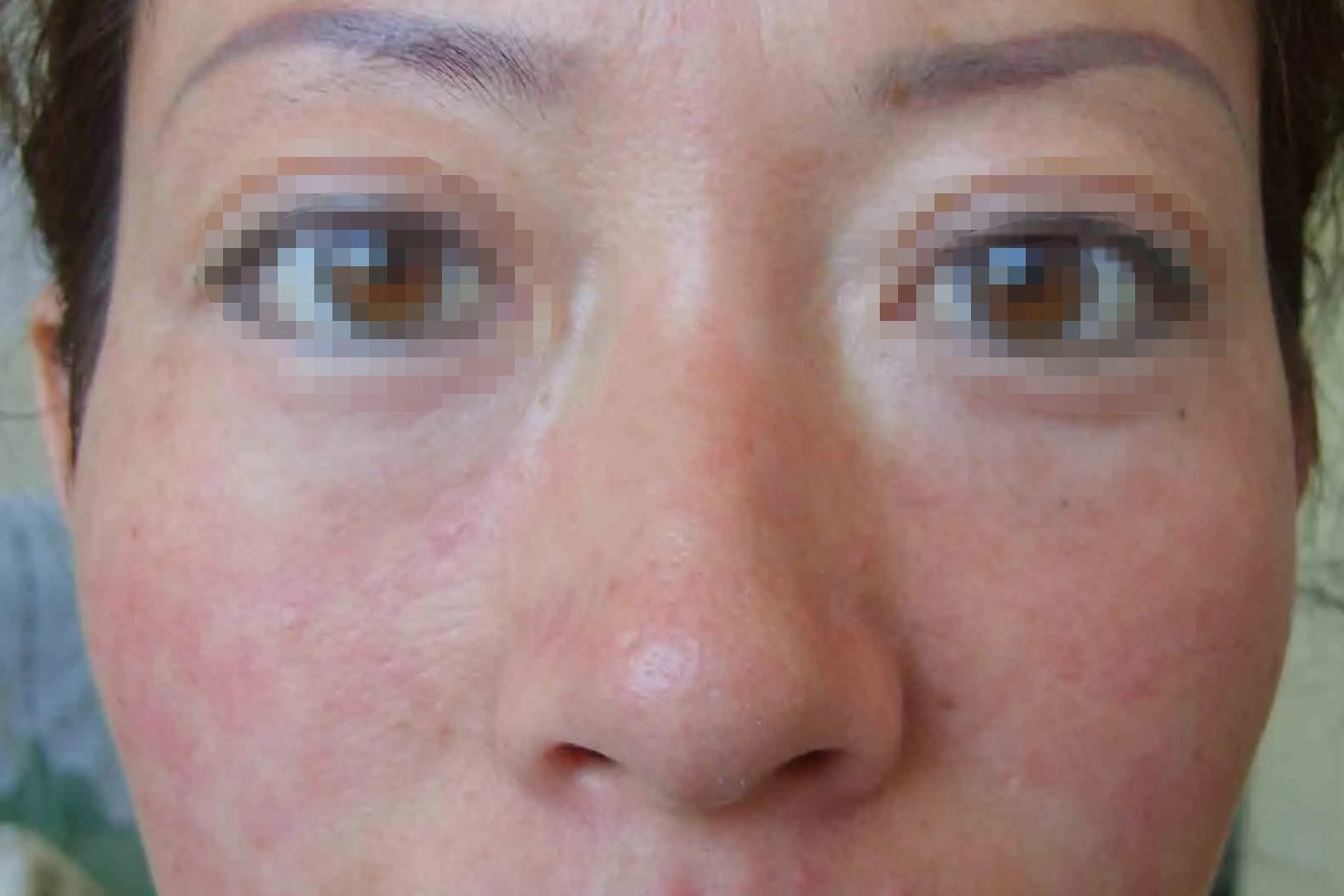
轻度激素脸:
轻度激素脸患者主要表现为在停用激素后,短期内面部皮肤变得较为敏感,容易出现泛红,会出现轻微的粉刺、痤疮,数量较少。

中度激素脸:
中度激素脸患者面部皮肤有明显的损害,脱屑且角质层变薄,泛红、血丝明显,粉刺、痤疮的数目较多,反复的痤疮会导致色素沉着,肤色变暗。

重度激素脸:
激素依赖明显,停用激素产品就会出现面部的明显泛红,带有血丝,并且伴有瘙痒感觉。粉刺、痤疮几乎布满面部,多数为隆起性的质硬结节。反复的皮损导致面部皮肤脱屑、粗糙,出现沉着。

激素脸的预防最关键的就是减少使用面部激素类的外用产品,尽管激素可以短时间内达到较好地效果,但是经常性使用会产生恶性依赖。日常护肤应该使用温和无刺激的产品,出现激素脸应该及时到皮肤科治疗,避免加重,影响美观和心理。