激素脸又名激素依赖性皮炎,常因为面部长时间的滥用、误用含糖皮质激素类制剂,引起激素的毒副作用所造成的一种严重皮肤病。
激素脸通常造成面部反复出现潮红、丘疹、脱屑等一系列症状。
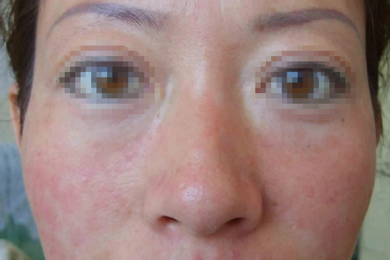
激素脸通常表现为面部皮肤萎缩变薄,出现潮红、干燥、脱屑、多毛等症状,同时面部还会出现丘疹、脓疱等玫瑰痤疮样皮炎改变,严重者甚至出现色素沉着,常伴有刺痛、灼热、瘙痒及紧绷感等不适反应。轻度激素脸患者症状常表现较轻,主要表现为较健康皮肤更为干燥、敏感、脆弱,轻度患者皮肤常反复过敏,角质层变薄,皮肤出现轻微发红。

若出现轻度激素脸,应立即停止激素类制剂的使用,以免症状加重。该疾病通常无法自愈,仅靠皮肤自身很难自我修复,我们应从根本上进行治疗,一旦出现此类症状,应及时就医不可自行处理。日常生活中护肤的时候要注意保持皮肤的清洁,使用温和的洗面产品,尽量避免热水烫洗和搔抓。在配合医生治疗的同时,可以使用皮肤屏障修复和保湿的护肤品,以减少皮肤的敏感性。同时需做好防晒工作,避免阳光直晒患病皮肤。此病易复发,需谨遵医嘱,长期跟踪治疗。