激素斑也称皮质类固醇激素依赖性皮炎,简称激素依赖性皮炎,主要表现为皮肤出现红斑、丘疹、干燥脱屑、萎缩等症状。
激素斑是因患者服用激素类的药物,或是在同一部位使用外用含激素类药物、化妆品三周以上而导致的。
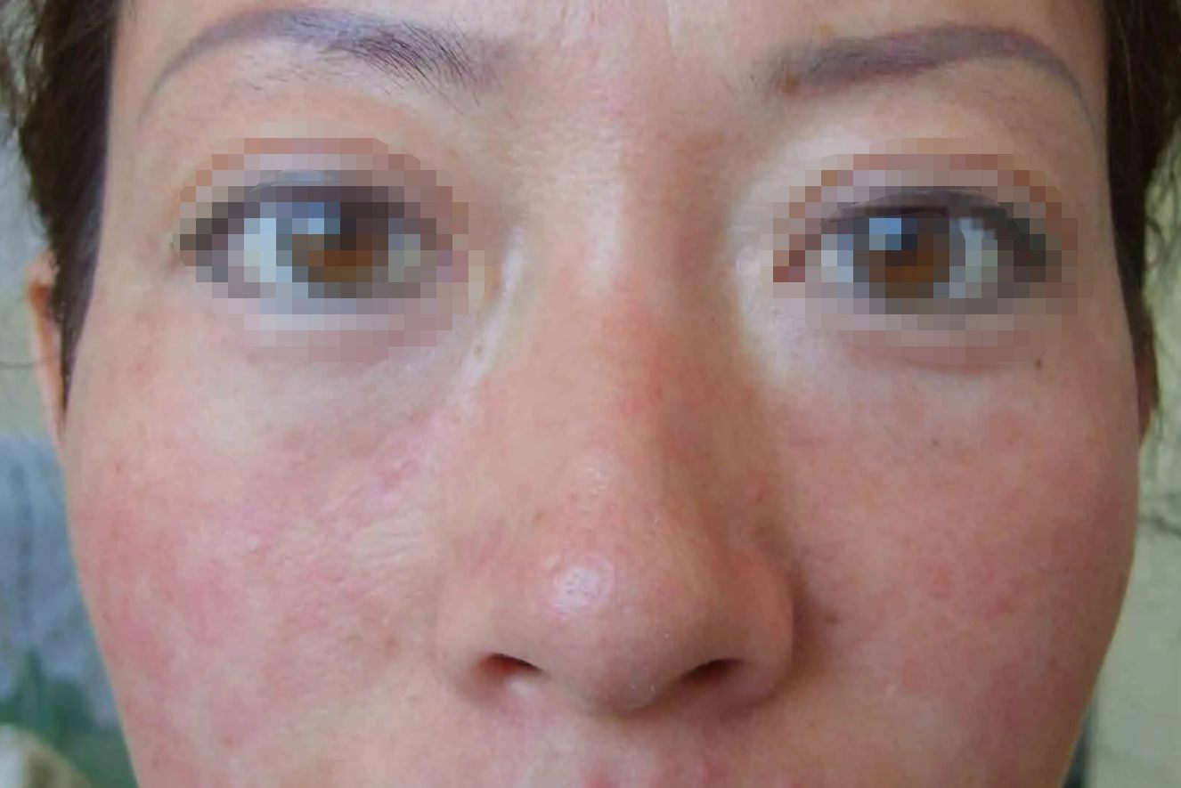
激素斑出现在皮肤,尤其是两侧面颊,多为红色,呈弥漫性,红斑上可能会有粉刺丘疹,同时还会伴随出现皮肤干燥脱屑、皮肤萎缩等症状。部分人群的激素斑处还会出现明显瘙痒、刺痛、紧绷感。

出现激素斑时需要及时停用含有激素的药物或化妆品,并遵医嘱在局部应用硼酸溶液进行冷湿敷,或应用他克莫司软膏、甲硝唑凝胶等进行局部涂抹。
局部用药效果不理想也可以遵医嘱全身用药,常用的药物包括氯苯那敏、氯雷他定等抗组胺药,以及多西环素、红霉素等抗生素药缓解症状。必要时也可通过激光治疗祛除激素斑。