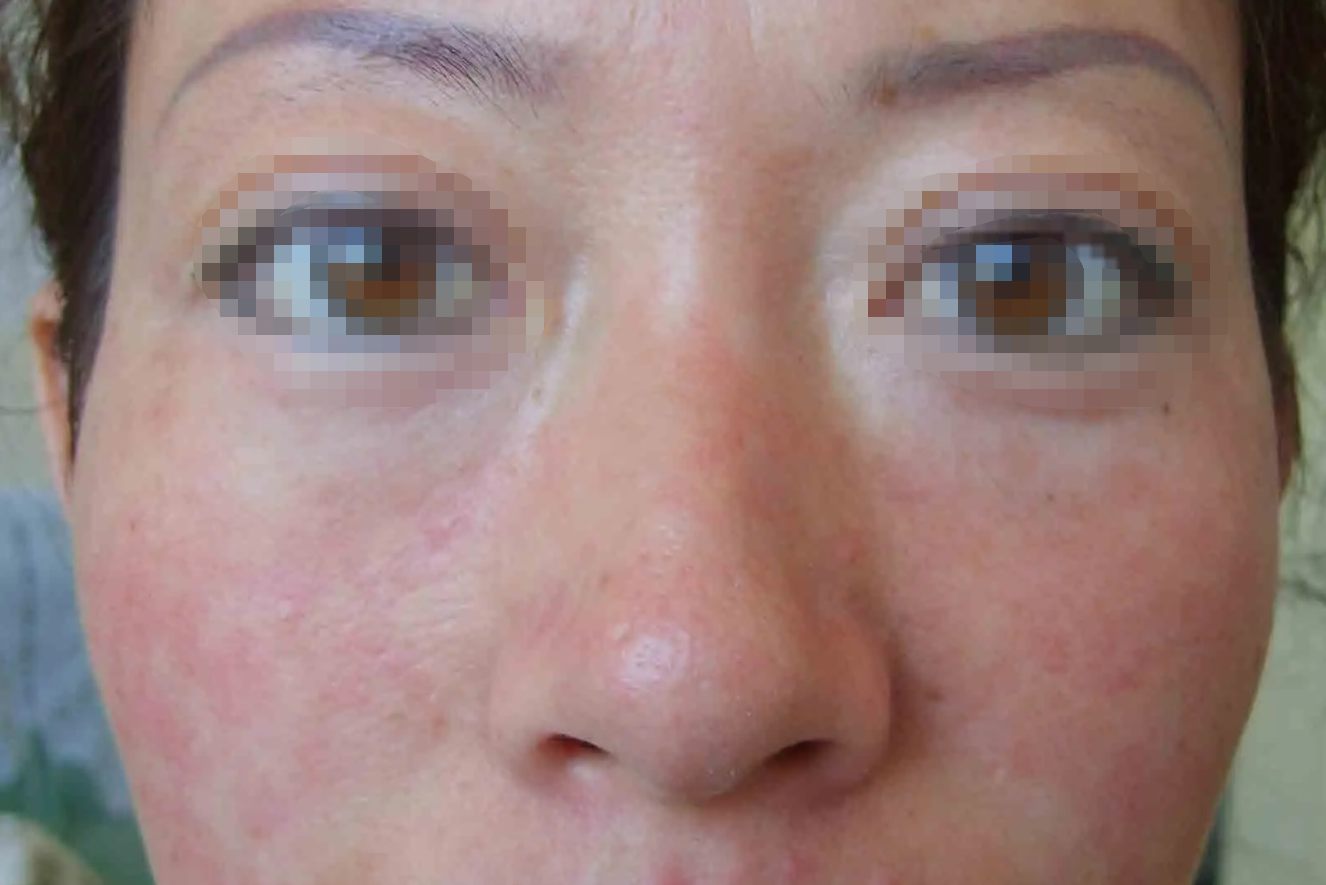
激素脸即面部激素依赖性皮炎,是由于面部长期外用含糖皮质激素制剂,导致面部皮肤反复出现潮红、丘疹、脱屑、玫瑰痤疮样皮疹等症状的一种皮肤病。
激素脸的发病原因主要有糖皮质激素外用制剂或某些含有糖皮质激素制造的不正规美白化妆品被广泛使用。
激素脸早期可有面部出现丘疹、脓疱等玫瑰痤疮样皮炎。面部皮肤老化,表现为皮肤干燥、脱屑、粗糙,甚至萎缩。面部出现色素沉着,毳毛增粗变长,自觉有灼热、刺痛、瘙痒和紧绷感。面部皮肤萎缩变薄、潮红、肿胀伴毛细血管扩张。部分患者可伴有不同程度的情绪及睡眠异常

早期激素脸的防治:
(1)尽量减少外出,尽可能地减少风吹、日晒以及外界环境因素对皮肤所造成的刺激,在遇到此类不宜环境的时候最好采取相应的防护措施。
(2)尽量不要食用辛辣、刺激性食物及饮酒;多吃蔬菜、水果等富含维生素的食物。
(3)避免面部按摩。如果面部有不同程度瘙痒、潮红等症状,要尽量避免抓挠,切忌用热水清洗患处皮肤。
(4)保持面部清洁,尽量使用清水或具有皮肤屏障功能修复作用的洁面产品。
(5)保持良好的心态,避免情绪波动而加重症状。
下一篇:粉刺图片的样子 粉刺图片长什么样