未角化的复层扁平上皮分布于口腔、食管和阴道等处。发生角化的复层扁平上皮多分布在皮肤表面。
复层扁平上皮具有很强的再生修复能力,而且分布在皮肤表面的复层扁平上皮对摩擦和损伤的耐受力比较强。
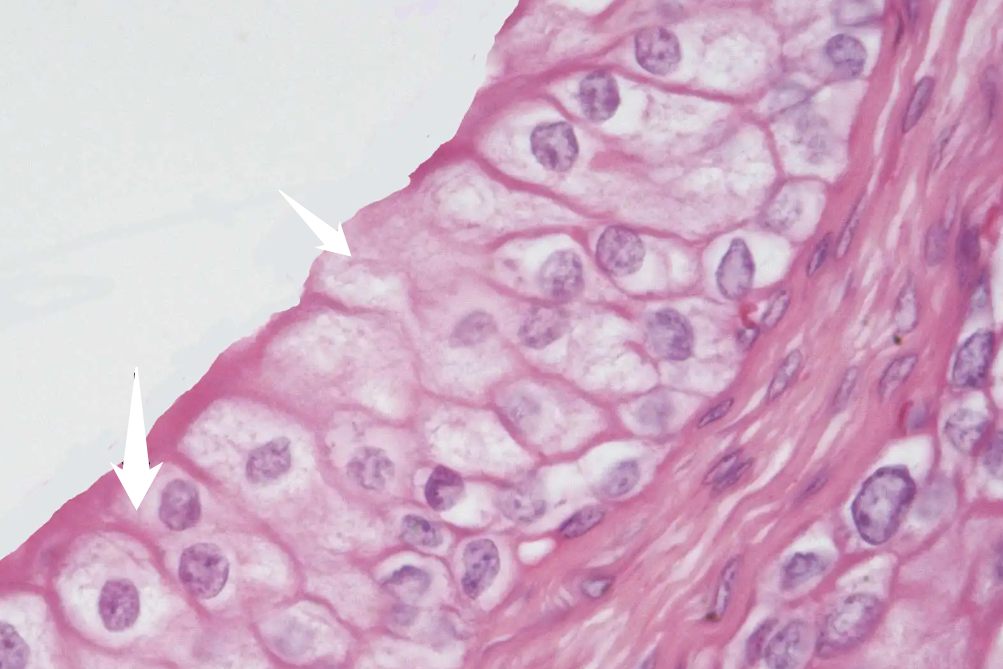
复层扁平上皮在显微镜下,可见到最基层的上皮细胞剁成矮柱状,排列较整齐,核为长椭圆形。中部的细胞为多边形,核为圆形或椭圆形,近表层的细胞逐渐变扁,呈梭形或扁平,浅层细胞依旧有细胞色,为未角化的复层扁平细胞。

分布在皮肤表面的复层扁平上皮,浅层细胞的细胞核消失,胞质内充满角蛋白,细胞干化;分布在口腔、食管和阴道黏膜的复层扁平上皮,其表层细胞不角化,有细胞核、胞质内角蛋白较少。
上一篇:脚趾头上有白色的鼓起的图片
下一篇:头皮上长一道一道的沟图片