骨疣也称为骨瘤,包括外生骨疣及内生骨疣。
外生骨疣通常由致密骨质构成,常发生于骨表面;内生骨疣是发生于骨髓腔内的骨瘤。
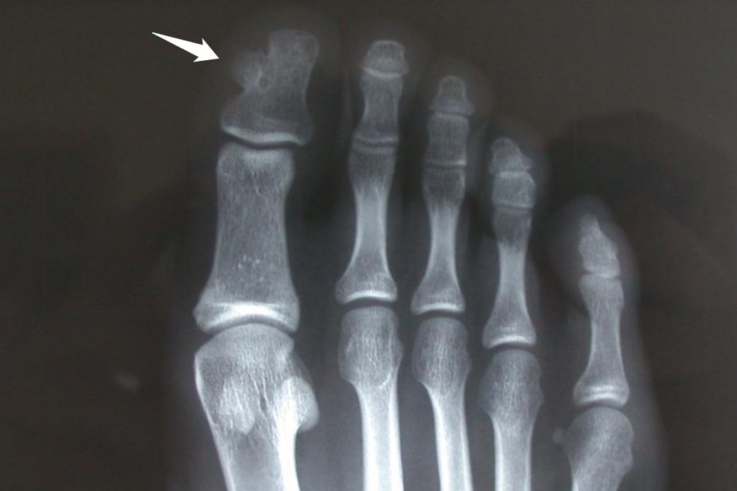
1、外生骨疣
外生骨疣是多发于长骨干骺端,生长于关节周围,是正常骨骼上的骨性隆起,为无痛性的、质硬的包块。当包块压迫周围软组织时,可引起患处关节疼痛和酸胀不适,并可导致滑膜炎。

2、内生骨疣
内生骨疣在体表通常无表现,主要是位于骨髓腔内包含在正常组织中的异常片块状骨岛,由成熟板层骨构成。患者通常无明显自觉症状,患处无疼痛。

多发性骨疣与遗传有关,属于先天性骨骼发育异常,当骨疣较大影响美观或影响关节活动以及压迫肌腱、神经时,可以考虑进行手术切除。
上一篇:头孢过敏长小红点图片