黏膜白斑症状及图片
创始人
2024-04-04 12:21:33
0

概述

黏膜白斑一般指口腔黏膜白斑。

口腔黏膜白斑通常与长期吸烟、饮酒、牙齿咬合不良有关。

症状

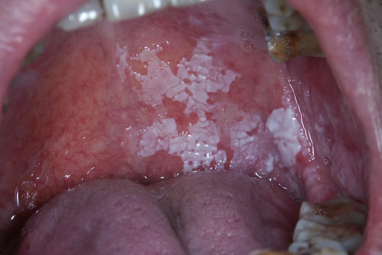
口腔黏膜白斑表现为点状或片状白斑,边界清晰,早期光滑,病程长者皮损处黏膜增厚,易出血,可形成溃疡,一般无自觉疼痛或瘙痒。

口腔黏膜白斑

黏膜白斑多数为良性病变,但对于存在黏膜面异常增生、易破溃、出血的皮损时,建议进行病理检查,以除外恶变。

相关内容

热门资讯

鼻毛为什么会变白 鼻毛为什么会... 鼻毛变白的原因可有多种,可能是衰老所致,也可能是疾病所致。鼻毛与眉毛、头发一样,颜色主要是由鼻部毛囊...
甘草泡地龙的功效与作用用量 甘... 甘草泡地龙的功效与作用包括清热解毒、祛痰止咳、调和气血,详情如下:1.清热解毒甘草和地龙都有清热解毒...
维a酸乳膏一个月效果图男士 维... 概述维A酸乳膏是一种能影响骨的生长和上皮代谢的外用药,常用于辅助治疗寻常痤疮、皮肤角化症等疾病。寻常...
腰椎打了4个钢钉多久能工作 腰... 腰椎打了4个钢钉多久能工作受到恢复情况以及腰椎受损严重程度的影响,一般在2-3个月后就能工作。腰椎打...
女人吃桂附地黄丸吃多久一疗程 ... 桂附地黄丸女人吃了可以达到温补肾阳的功效,能够改善肾阳不足所引起的临床症状。女性在出现肾阳不足之后就...
后脑勺有横着的肉杠是脑梗纹吗 ... 概述后脑勺有横着的肉杠可能是因过度肥胖病或脂肪瘤等因素引起。为预防后脑勺出现横着的肉杠,要适度减肥、...
槲皮素和铁皮石斛是一样的功效吗 槲皮素和铁皮石斛的功效不同,但它们有一些相似之处。槲皮素和铁皮石斛对人体的功效是不同的。槲皮素是一种...
丹参滴丸和麝香保心丸同吃行吗 ... 丹参滴丸即复方丹参滴丸,与麝香保心丸二者虽然都常用于冠状动脉粥样硬化性心脏病的预防、治疗和急救,但在...
身上红色的小血点像痣倪海厦 身... 这类红色小血点,应该视情况而定。若是刚出生的小婴儿,则可能是毛细血管痣,也即是人们口中常常提到的“胎...
正常结痂化脓结痂图片对比 概述结痂是伤口愈合过程中的一个阶段。正常结痂的伤口肉芽组织和结痂体紧密结合,结痂处轻微发红,无流脓情...