骨痂是指在骨折愈合过程中产生的新生骨样组织,骨折术后一百天形成的主要是骨小梁紊乱的原始骨痂。
骨痂的形成是一种骨折修复过程,在新生血管、增生的成骨细胞以及骨基质的协助下骨样组织会开始骨化,形成骨痂。
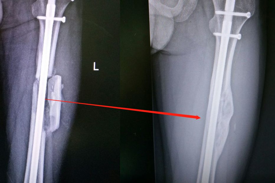
骨痂开始形成的时间一般是骨折术后的4~6周,与骨折部位血供相关。骨折术后修复首先是骨样连接,然后才在骨外膜、骨内膜部位形成骨痂。骨折术后一百天可在X线下看到骨折处出现梭形骨痂阴影,隐约可见骨折线。此时的骨痂还是原始骨痂,骨小梁相对较少且排列较为紊乱和疏松。骨痂形成后还需要经过钙化、改造塑形阶段才可以使骨折部位恢复如初。

骨折术后一百天形成的骨痂韧性还不足,因此此时还不适合进行强度过大的活动锻炼,建议在医生的指导下进行康复活动,避免影响骨折愈合。