跖骨骨折十级伤残主要是指跖骨骨折愈合后不会出现功能障碍,这属于工伤认定标准。
跖骨骨折的形成原因包括外伤和慢性损伤,外伤包括重物跌落砸伤、踢伤等,慢性损伤主要出现在长跑运动员和重体力劳动者。
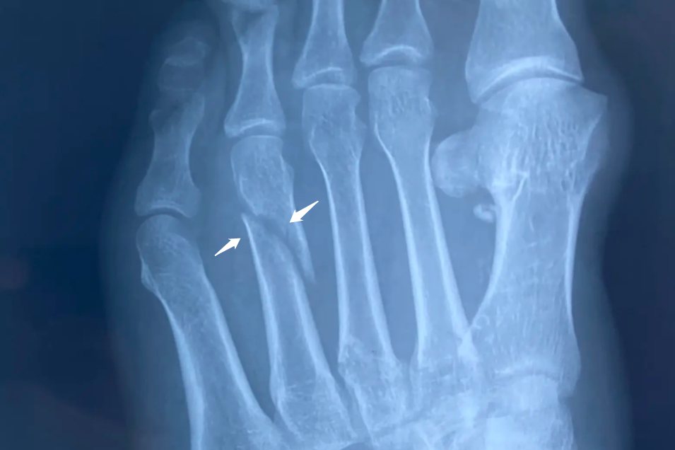
跖骨骨折十级伤残的重要临床表现为患足疼痛、肿胀,跖趾关节功能丧失,跖骨末节离断,X光片下可以看见的骨折断端和骨折移位。患足无法承受重力,触地行走或按压时骨折部位疼痛感觉明显加剧,患者行走困难。患者骨折愈合后不出现功能障碍。

跖骨骨折十级伤残患者行走不便,对日常工作和生活产生较大影响,但是愈后较好,不出现功能障碍,因此应该及时就医,卧床休息,避免病情加重。治疗过程中应该遵循医嘱进行积极的康复锻炼。
上一篇:腿摔破了图片 腿摔破了图片真实
下一篇:骨折照片是ct还是x光